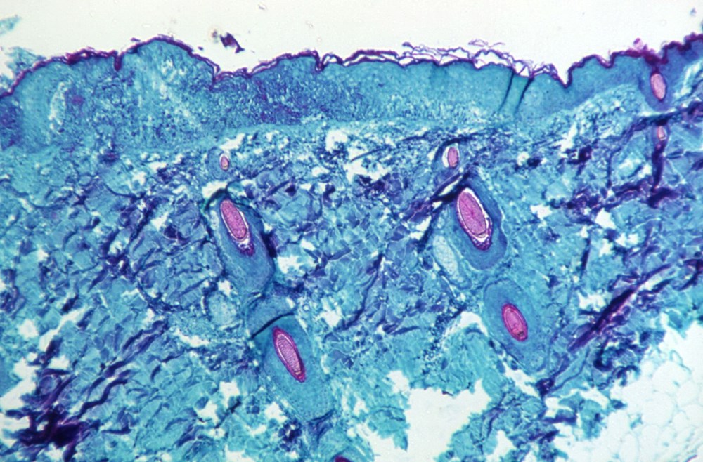
Maymun çiçeği virüsü hava yoluyla bulaşıyor mu? CDC ve DSÖ'den yakın temaslılara maske önerisi
Maymun çiçeği vakalarında artış sürüyor. Son olarak komşu Yunanistan'dan ilk vaka haberi geldi. Bununla birlikte Amerikan Hastalık Koruma ve Kontrol Merkezi'nin (CDC) maymun çiçeğine karşı "maske takın" uyarısını yapıp sonra kaldırması kafaları karıştırdı. Dünya Sağlık Örgütü (DSÖ), de hastayla temas eden sağlık personelinin ve hastanın kendisinin maske takmasını öneriyor.
MAYMUN ÇİÇEĞİ VİRÜSÜ KOMŞUYA DA SIÇRADI
Maymun çiçeği vakası görülen ülkelere komşu Yunanistan da eklendi. Hastalığın görüldüğü ülke sayısı 30'u geçti. Vakaların çoğu Avrupa'da. bulunurken, virüsün endemiik olmasığı ülkelerde vaka sayısı bin 100'ün üzerine çıktı
Yunanistan'daki hastanın kısa süre önce Portekiz'e seyahat ettiği açıklandı

Bununla birlikte, henüz salgına dönüşmese de maymun çiçeği Dünya Sağlık Örgütü'nün (DSÖ) gündeminde bulunuyor.
DSÖ Genel Direktörü Tedros Gebreyasus, maymun çiçeğinin, daha önce salgına yol açmamış ülkelere yerleşme riskinin bulunduğunu söyledi. Ancak riskin bu aşamada önlenebileceğini belirtti.

EŞCİNSEL VE BİSÜKSEÜL VAKALAR YOĞUNLUKTA

Vakaların ağırlıklı olarak erkeklerle cinsel ilişkiye giren erkeklerde görülmeye devam ettiği ifade edildi. Ancak kadın vakaların da bulunduğuna dikkat çekildi
DSÖ'nünn maymun çiçeği teknik heyetinin başkanı Rosamund Lewis, virüsün ana yayılma yolunun kişiler arası yakın temas olduğuna vurgu yaptı
Lewis,"havayoluyla bulaşma riskinin" henüz tam olarak bilinmediğini hatırlattı. Ancak maymun çiçeği hastalarına müdahale eden doktorların maske takması gerektiğini söyledi.

2025/2026 Şampiyonu Kim Olur Sizce ?
| İmsak | 06:49 | ||
| Güneş | 08:21 | ||
| Öğle | 13:10 | ||
| İkindi | 15:29 | ||
| Akşam | 17:49 | ||
| Yatsı | 19:16 |
| Takımlar | O | P |
|---|---|---|
1. Galatasaray |
20 | 49 |
2. Fenerbahçe |
20 | 46 |
3. Trabzonspor |
20 | 42 |
4. Göztepe |
20 | 39 |
5. Beşiktaş |
20 | 36 |
6. Başakşehir FK |
20 | 30 |
7. Samsunspor |
20 | 30 |
8. Gaziantep FK |
20 | 25 |
9. Kocaelispor |
20 | 24 |
10. Alanyaspor |
20 | 22 |
11. Gençlerbirliği |
20 | 22 |
12. Çaykur Rizespor |
20 | 20 |
13. Antalyaspor |
20 | 20 |
14. Konyaspor |
20 | 19 |
15. Eyüpspor |
20 | 18 |
16. Kasımpaşa |
20 | 16 |
17. Kayserispor |
20 | 15 |
18. Fatih Karagümrük |
20 | 9 |
| Takımlar | O | P |
|---|---|---|
1. Amed SK |
23 | 46 |
2. Erzurumspor FK |
23 | 45 |
3. Esenler Erokspor |
23 | 44 |
4. Çorum FK |
23 | 41 |
5. Bodrum FK |
23 | 39 |
6. Pendikspor |
23 | 39 |
7. Bandırmaspor |
23 | 36 |
8. Boluspor |
23 | 35 |
9. Iğdır FK |
23 | 34 |
10. Keçiörengücü |
23 | 33 |
11. Van Spor FK |
23 | 31 |
12. Manisa FK |
23 | 31 |
13. İstanbulspor |
23 | 31 |
14. Sivasspor |
23 | 30 |
15. Ümraniyespor |
23 | 27 |
16. Sarıyer |
23 | 27 |
17. Serik Belediyespor |
23 | 26 |
18. Sakaryaspor |
23 | 23 |
19. Hatayspor |
23 | 7 |
20. Adana Demirspor |
23 | 2 |
| Takımlar | O | P |
|---|---|---|
1. Arsenal |
24 | 53 |
2. Manchester City |
24 | 47 |
3. Aston Villa |
24 | 46 |
4. Manchester United |
24 | 41 |
5. Chelsea |
24 | 40 |
6. Liverpool |
24 | 39 |
7. Brentford |
24 | 36 |
8. Sunderland |
24 | 36 |
9. Fulham |
24 | 34 |
10. Everton |
24 | 34 |
11. Newcastle United |
24 | 33 |
12. Bournemouth |
24 | 33 |
13. Brighton & Hove Albion |
24 | 31 |
14. Tottenham |
24 | 29 |
15. Crystal Palace |
24 | 29 |
16. Leeds United |
25 | 29 |
17. Nottingham Forest |
25 | 26 |
18. West Ham United |
24 | 20 |
19. Burnley |
24 | 15 |
20. Wolverhampton |
24 | 8 |
| Takımlar | O | P |
|---|---|---|
1. Barcelona |
22 | 55 |
2. Real Madrid |
22 | 54 |
3. Atletico Madrid |
22 | 45 |
4. Villarreal |
21 | 42 |
5. Real Betis |
22 | 35 |
6. Espanyol |
22 | 34 |
7. Celta Vigo |
23 | 33 |
8. Osasuna |
23 | 29 |
9. Real Sociedad |
22 | 28 |
10. Deportivo Alaves |
22 | 25 |
11. Athletic Bilbao |
22 | 25 |
12. Girona |
22 | 25 |
13. Elche |
22 | 24 |
14. Mallorca |
22 | 24 |
15. Sevilla |
22 | 24 |
16. Valencia |
22 | 23 |
17. Getafe |
22 | 23 |
18. Rayo Vallecano |
22 | 22 |
19. Levante |
21 | 18 |
20. Real Oviedo |
22 | 16 |
Galatasaray
Fenerbahçe
Trabzonspor
Göztepe
Beşiktaş
Başakşehir FK
Samsunspor
Gaziantep FK
Kocaelispor
Alanyaspor
Gençlerbirliği
Çaykur Rizespor
Antalyaspor
Konyaspor
Eyüpspor
Kasımpaşa
Kayserispor
Fatih Karagümrük
Amed SK
Erzurumspor FK
Esenler Erokspor
Çorum FK
Bodrum FK
Pendikspor
Bandırmaspor
Boluspor
Iğdır FK
Keçiörengücü
Van Spor FK
Manisa FK
İstanbulspor
Sivasspor
Ümraniyespor
Sarıyer
Sakaryaspor
Hatayspor
Adana Demirspor
Arsenal
Manchester City
Aston Villa
Manchester United
Chelsea
Liverpool
Brentford
Sunderland
Fulham
Everton
Newcastle United
Bournemouth
Brighton & Hove Albion
Tottenham
Crystal Palace
Leeds United
Nottingham Forest
West Ham United
Burnley
Wolverhampton
Barcelona
Real Madrid
Atletico Madrid
Villarreal
Real Betis
Espanyol
Celta Vigo
Osasuna
Real Sociedad
Deportivo Alaves
Athletic Bilbao
Girona
Elche
Mallorca
Sevilla
Valencia
Getafe
Rayo Vallecano
Levante
Real Oviedo